月刊錦鯉97年7月号 連載・魚病ノートNo.15
(協力)錦彩出版 |
魚病ノート目次 | 前頁 | 次頁 |
ブランキオマイセス症・デルモシスチジウム症
- ブランキオマイセス症
- ブランキオマイセス症は、真菌類(カビの仲間)のブランキオマイセス属(Branchiomyces)が鰓の組織内に寄生して起こる。5月~7月頃に浮腫症とよく似た症状で発生して、稚魚の大量斃死を招く。
- 症状
- 発病すると水面に浮上して、池壁、注水口、排水口に集まり、平衡感覚を失って遊泳を止めてしまう。鰓の組織は棍棒化して、外からは鰓が張ったように見える。呼吸困難を引き起こして、酸素欠乏によって死に至る。斃死状況は浮腫症によく似ている。
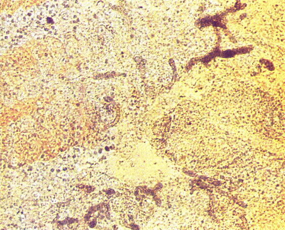
病魚の鰓を開いて見ると、鰓の基部付近が黒く見える。顕微鏡で観察すると、鰓弁の血管中にブランキオマイセスの菌糸を確認することができるので、浮腫症と区別できる。養魚池で発生し、観賞池では発生していない。
- 対策
- 治療法は知られていない。水カビに効果があるマラカイトグリーンなどでは治療できない。したがって、病魚は速やかに隔離、または焼却することが望ましい。
- デルモシスチジウム症
- デルモシスチジウム(Dermocystidium)は、一般的には真菌類の仲間であると考えられている。魚体のあらゆる部分にシストを形成するが、一般的には皮膚または鰓に認められる。胞子に当たるものがサヤの中に入っていて鯉の皮下に寄生し、成熟すると患部が破れて胞子が出てくる。春から初夏にかけて一才魚以上に発生する。国内での発病例は少ない。
- 症状
- 体表や筋肉など、いたるところに直径1㎝程度の、淡黄色または白いシストが認められ、肉質が盛り上がったようになる。春先には火山の噴火口のようになり、中心から破れて胞子がばらまかれる。患部が崩れると筋肉が露出する。
多くは夏になると自然治癒するが、二次感染を誘発することがある。特に鰓に多数寄生した場合は呼吸困難を起こす場合がある。
- 対策
- 現在のところ治療法は知られていない。病魚は速やかに隔離、または焼却することが望ましい。